Esta web utiliza cookies. Puedes consultar nuestra política de cookies o averiguar cómo desactivarlas aquí. Si continúas navegando, aceptas la utilización de cookies por parte de clínica dental Ruiz + Blasco.

Endodoncia

La endodoncia, o tratamiento de conductos, es un procedimiento que se realiza en odontología con el fin de eliminar bacterias y tejido nervioso necrótico del interior de un diente.

Las caries son la causa más frecuente de infección, inflamación y posterior necrosis de la pulpa. Ante esto es necesario realizar una endodoncia. También existen otros factores que pueden generar una pulpitis o lesión de la pulpa como traumatismos, abrasión o desgate entre piezas dentales o las consecuencias de algunos tratamientos restauradores o materiales utilizados en los mismos.

Por eso, en clínica dental Ruiz + Blasco, creemos en la importancia de encontrar el tratamiento adecuado en cada ocasión. Ponte en manos de nuestros expertos en endodoncia, nadie mejor que ellos sabrán valorar tus necesidades al respecto.

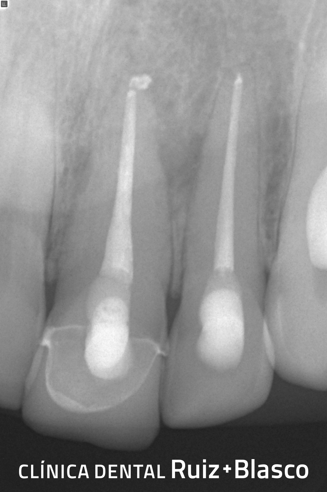
Caso 1

Seleccione su caso clínico:

Nos encontramos con un paciente al que, tras la exploración rutinaria, se le descubrió una necrosis de los incisivos centrales y laterales. Esta necrosis –debido a una infección de la pulpa dental– había provocado otra infección en los tejidos periapicales (alrededor del ápice de las raíces). Se le realizó el tratamiento de conductos y, 6 meses más tarde, podemos observar la desaparición del área de infección periapical.


Endodoncia Endodoncia